Biological Laws
Jul 06, 2024
Understanding the Universality of Biological Laws
The concept of a “biological law” occupies a central place in the understanding of the life sciences, defining principles that are universally true and applicable to all cases within their scope. These laws are not mere observations but fundamental truths that describe consistent, predictable patterns of biological phenomena. The essence of a biological law is its universal applicability; it is a principle that holds without exception and provides a framework through which the complexity of biological processes can be understood and anticipated.
For example, the principle that every human child must be conceived through the union of a sperm and an egg is a biological law because it is invariably true in all instances. Similarly, Wolff’s Law shows how the structure of a bone is directly affected by the increase in weight it carries, resulting in an increase in density and mass. Such laws are empirical, supported by consistent observation, and predictive, allowing for the anticipation of outcomes based on known inputs.
The Five Biological Laws of German New Medicine (GNM) are universal and empirically based, describing the onset and progression of organ specific biological adaptive programs in response to emotional-biological conflicts. These laws articulate how the brain-directed biological program of each organ follows identifiable, predictable patterns. The first of which shows that each biological program is preceded by a Dirk Hamer Syndrome (DHS) shock experience—an unexpected, acute conflict that sets the stage for the organ adaptation that follows. Like other biological laws, the laws of GNM provide a consistent and universal framework for understanding and predicting biological phenomena.
The Five Biological Laws
The First Biological Natural Law— The Iron Rule of Cancer, establishes the origin of every biological program (Significant Biological Special Program or SBS) from a DHS (Dirk Hamer Syndrome), an acute, unexpected, isolating conflict shock experienced simultaneously on three levels: psyche, brain, and organ. The measurable imprint that a DHS leaves on the brain, known as a Hamer Focus or Hamer Herd (HH), has proven to be one of the greatest discoveries in natural science.
The Second Biological Natural Law —The Law of Two Phases, reveals that all biological programs proceed through two phases: a conflict-active phase and a conflict-resolved phase (if the conflict is indeed resolved), where “symptoms of disease” fall into two categories corresponding to these two phases. The so-called “cold” symptoms in the medical literature pertain to the conflict active “sympathicotonic” phase, and the inflammatory “warm” symptoms occur only in the conflict resolved “vagotonic” healing phase as part of a restoration and recovery process.
The Third Biological Natural Law—The Ontogenetic System of the Significant Biological Special Programs of Nature, also known as the “Compass” of German New Medicine, highlights the relationship between embryonic germ layers and specific brain areas, dictating how different organs and tissues respond to different conflict shocks, where each embryonic tissue type has a programmed response for either cell growth (augmentation), cell loss (diminution), or direct functional change.
The Fourth Biological Natural Law—The Ontogenetic System of Microbes, overturns the traditional view of microbes as mere “pathogenic entities” and instead presents them as integral to the post-conflict restoration phase, with each microbe playing a specific role in healing the adapted tissue of an organ back to normal homeostasis.
The Fifth Biological Natural Law— “The Quintessence”—encapsulates the understanding that each biological program of adaptation serves a meaningful biological purpose, aimed at equipping organisms to better handle significant life challenges. Biological programs are not caused by a purposeless, random error, but rather interface with the psyche and the environment, and thereby express Nature’s intelligence where each expression in biology can now be comprehended intelligibly and therefore honored.
Harmonizing the Mind-Body Symphony: The Brain’s Role in Coordinating Intelligent Adaptations
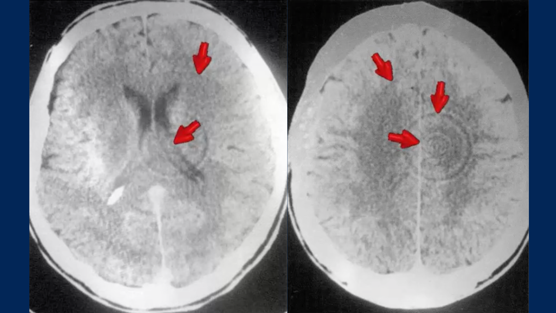
Integrating the pivotal role of the brain, specifically the Hamer Herd (HH), into our understanding of German New Medicine (GNM) deepens our appreciation for the body’s holistic and interconnected nature. The HH, as observed through brain CT scans, represents the precise brain location corresponding to the biological conflict experienced by the psyche. This discovery underscores the brain’s central role in initiating and guiding the body’s response to the acute emotional distress, manifesting intelligent changes in the correlated organ.
In the context of GNM, the HH’s significance cannot be overstated. It serves as the control center that directs the body’s biological programs in response to specific emotional-biological conflicts. When an individual experiences a distressing event or unexpected conflict shock (DHS), the brain relay corresponding to that specific emotional theme becomes active with an HH. This activity is manifested by concentric rings on a CT scan, a direct indicator of the brain’s mediation of the body’s adaptive response to the psyche’s experience.
Transition to Healing: The Edema Phase
Upon the resolution of the underlying conflict (perhaps days, months, or years after the initial shock, depending on circumstance), the brain undergoes a remarkable shift from conflict management to the post-conflict healing phase. This transition is marked by the development of edema in the brain relay, signaling the beginning of the body’s restorative process. The edema represents the brain’s efforts to heal itself.

Simultaneously, the corresponding organ, which had been in a state of adaptation to manage the conflict (with cell growth, cell loss, or functional change), enters the inflammatory restoration phase. This phase is characterized by inflammation, a natural part of the healing process, signifying the organ’s attempt to return to its pre-conflict state of health. The presence of inflammation, rather than being a sign of further disease, is a positive indication of the body’s efforts to heal and restore normal function.

The Symphony of Healing
This intricate dance between brain and body, mediated by an HH during conflict activity, with a shift to edema and organ restoration after the emotional conflict is resolved, highlights a new paradigm in understanding health and disease. It suggests that diseases are not merely random malfunctions or attacks on the body but are intelligible consequences of a sophisticated biological strategy aimed at dealing with these acute conflicts and traumas. Recognizing the brain’s central role in this process encourages a more nuanced approach to healing, one that encompasses the emotional and psychological dimensions of health.
Embracing this GNM perspective empowers individuals and health professionals alike to view the healing journey not just as a return to physical health, but as a holistic restoration of the individual’s overall well-being. This understanding fosters a more compassionate and comprehensive approach to health care, emphasizing the importance of addressing the emotional roots of physical symptoms for true healing to occur.
German New Medicine represents a new beginning in humanity's approach to health and well-being. The biological conflict shock is always an "isolating" and "unexpected" experience of distress. In thisĀ new approach to healing, we are called to come together in full awareness of the conflicting distress. When unified together with this awareness, we can organize ourselves in alignment with what the body wants and desires—resolution of the distress. This then begins a new horizon in our alignment with Nature's greater Innate Intelligence. Such an alignment gives birth to health from the inside-out, as it allows the innate intelligence of life to heal the body when we make the adjustment inĀ the psyche, the heart, and the family.Ā